患者様との思いを合致し
満足いただける治療を提供

私どもは、患者様の思いをしっかりと伺い、最適なプランを提案し、満足いただける治療を提供出来るよう努力しております。
dsc05409.jpg shin2_20200602185534557.jpg re_20201010112509974.jpg pmt_20200602185409600.jpg
歯科

歯科
imp9.jpg pxt00004239968802.jpg chiryo2.jpg

信頼を積み重ねる医療を提供

当院は、お子様からご年配の方まで、幅広い年齢の方々へ対応しております。
少しでもリラックスして治療を受けていただけるよう、コミュニケーションを大切にし、心配りをしております。
定期検診を根本に、早期発見・早期治療をめざし、大切な歯を失うことのないメンテナンス、治療を提供しております。
 

訪問診療(往診)

外出が困難で治療を受けられない方のために、訪問診療(往診)を行っております。
・入れ歯が合わず、痛くて使えない。
・むし歯の治療をしたい。
・歯周病の治療や予防をしたい。など・・・
気になることがありましたら、お問い合わせください。

口腔外科

口腔外科
kou_20201010233513481.jpg oya_(2).jpg haita.jpg

事故による損傷や難症例に対応

むし歯や歯周病治療といった一般歯科に加えて、口の中とあごの骨、関節、唾液(だえき)をつくる腺やその周りの病気を治療対象とし、話をしたり、物を食べたりする「口の機能」を維持増進することを目的としています。
そのため、歯のみではなく、顎関節、口腔粘膜の難治性口内炎、顎下腺・舌下腺などの唾液腺疾患を含め、口の中、あご、舌の疾患全般を対象に診断・治療を行っております。
 
例えば、難しい親知らずの抜歯、自家歯牙移植、顎関節症、舌痛症、口腔乾燥症、神経痛、骨髄炎などの炎症疾患、神経麻痺、インプラント手術、インプラント植立前の骨増生手術、顎変形症手術、有病者の歯科治療、嚢胞や良性腫瘍の摘出手術、また、口の中やあごなどのガンの治療も行うこともあり、歯科口腔外科は歯科と医科の両方にまたがる治療を行うケースがあります。
 
交通事故や物にぶつかって歯に損傷ができた場合や脱臼歯の再植、口唇の裂傷、あごの骨の骨折の整復処理などの外傷も歯科口腔外科で扱います。
疑わしい症状やお困りの事があれば、お早めにご相談ください。

口腔外科

lab08_dsc9954.jpg bl.jpg 12-1024x1024.jpg bl1.jpg
 
TVでも取り上げられました
ブルーラジカル治療は、保険適応外となります。

世界初の歯周病治療器による治療

『ブルーラジカルP-01』
厚生労働省の医療機器認定において「歯周治療・歯周炎・歯周ポケットの殺菌・スケーリング」に有効と国が認証している唯一の歯周病治療器で、人体にも影響がないことを実証されています。
 
ブルーラジカルは、3%過酸化水素水を405nmの青い光で分解し、フリーラジカルを発生させ、このフリーラジカルが細菌を酸化障害することで殺菌します。
また、チップが超音波振動することにより歯石やプラークの除去機能もあります。
 
治験において「歯周病が治る」と言う事を認められた理由は、この強い殺菌力と歯石やプラーク除去により排膿や炎症などの症状が消失し、歯周ポケットが浅くなったという結果報告にあります。
 
軽度の動揺歯は揺れがおさまる可能性も高まりますし、膿が止まる可能性も高くなります。
それにより、歯周組織の状態が破壊され続けている状況から安定する可能性が従来の超音波スケーラーによる洗浄などと比較した場合効果が高くなります。
 
・2023年7月に厚生労働省から承認され、2024年1月販売開始・歯周病の原因となる細菌を99.99%除去・過酸化水素と特殊な青色レーザー照射による技術で歯周ポケット内部に蓄積した細菌を殺菌することが可能・麻酔をして治療するので痛みはなく、重度の歯周病であっても、抜歯や切開をせずに治療が可能・一度の治療で3ヶ月ほど効果が持続するが治療後はしっかりと歯磨きでメンテナンスを行う事が大切・歯周ポケットの減少・排膿、出血が止まる・保険適応外 
 
「ブルーラジカル治療を受診希望の方へ」
・受付にブルーラジカル治療を希望の旨、お伝えください。
・ブルーラジカル歯周治療は、歯周病の状態を正確に診断し、施術計画を要するため、いきなり施術を行うことはできません。・精密検査後にお悩みに沿ったプラン、料金等をお伝えいたします。 
 
「ブルーラジカル治療に対する当院の考え」
従来の治療法である、超音波スケーラによるスケーリング等の治療から、更に高い殺菌力のあるブルーラジカルを使用することにより、歯周病の進行遅らせたり、症状が緩和し、健全な状態に近づくという事はございますが、歯周病を完全に治したりするものではないと捉えています。 歯周病にはステージⅠからⅣとステージがあり、全ての歯を保存可能か否かかは一概に言うことができません。しかしながらこの治療器は世界的で初めて菌に対して高い攻撃力を持つことが実証され、厚生労働省により認可がおりた治療器であり、歯周病治療に有用であることは間違いありません。

歯周内科

歯周内科
shisyu.jpg shi_(3).jpg kanjida01.jpg zi.jpg

お薬を使った歯周病治療

患者さんにとって歯槽膿漏は病気であるという認識をあまりお持ちではありませんが、歴とした感染症でその治療は歯周内科の治療方法に起因してくる訳です。
まず、患者さん自体が毎日の歯磨きを励行するという、厳しい条件下でなくては良い結果が生じないという事です。
カビ菌は通常2割の方が保有していると言われています。
その観点から、薬での治療方法がとられるようになる、現代の歯周内科へとたどりついた訳です。
歯周内科の治療に関し当院では、ご相談を受け賜わっております。
 
歯周内科の治療方法
①細菌の種類を調べ、その方に合った除去薬剤の処方・内服 
②カビとり歯磨き剤での歯磨き
③除菌後の歯石とり

定期検診クリーニング

定期検診クリーニング
chiryo2.jpg cyo_(2).jpg pmt_20200602185409600.jpg ep.jpg

定期検診

当院では定期健診による、早期発見、早期治療、を推奨しております。
この定期健診を受けることにより、虫歯だけではなく、歯周病など歯茎のトラブルも早期発見、早期治療が可能です。
症状が出てからでは遅い歯科トラブル。
いつまでもご自身の歯で食事を摂り快適な生活を送るため、定期的に検診を受けましょう。
また、検診時に行うクリーニングが予防に大きく貢献いたします。
 

 PMTC(クリーニング)

専門のトレーニングを受けた衛生士が、専用の器具を使って行う口腔内清掃です。
歯石・プラークはもちろんのこと、歯ブラシだけでは取れないバイオフィルムや、自分では取れないすき間に残った汚れを徹底的に除去します。
定期的にクリーニングを受けることにより、口腔内環境は良い状態に保たれます。
※バイオフィルム:むし歯や歯周病を引き起こす細菌のかたまり。

予防歯科
fus.jpg dsc01423.jpg dsc05392.jpg dsc06420.jpg dsc05326.jpg dsc05324.jpg

フッ素塗布

虫歯になる原因に対して、フッ素塗布の以下のような働きがあり、虫歯になりにくくする効果があるとされています。
1. 唾液中に含まれるミネラルの沈着を促進し、再石灰化を助ける
2. 歯の質を強化し、酸から歯を溶けにくくする
3. 酸の生成を抑える
※お子様はもちろんの事、大人にも有効です。

セルフケア

当院では、歯磨き指導はもちろんの事、様々な衛生用品をご用意し、皆様がご自宅で良好な口腔内環境を維持するためのセルフケアのご案内もしております。
歯科で用意する本格的なケア用品を是非お試し下さい。

歯ブラシ回収箱

十勝歯科医師会では、使用済みの歯ブラシを回収することにより取得した金銭で、アニマルパスウェイ(リス等の交通事故防止陸橋)を設置する企画をおこなっております。
皆様のご協力、お願いいたします。

審美歯科

当院では、徹底したクリーニングはもちろんの事、歯の漂白剤を使用するホワイトニングや歯ぐきの黒ずみもトリートメントいたします。
白く輝く口元は、見た目年齢に影響するのはもちろんの事、みなさんに好印象を与えます。
※審美治療は一部を除き保険外診療となります。
ホワイトニング
nw.jpg tio10_20201013224612038.jpg whi2_20201013224621236.jpg istock_000020730459large.jpg

ホームホワイトニング

マウスピースを使い、歯を薬品で浸して美白くするのがホワイトニングです。
美白剤の主成分は過酸化水素で、消毒薬のオキシドールとして知られています。
欧米では、すでに100万人以上の方がこの技術で歯を美白しています。
喫煙やコーヒー等の飲用による変色、老化、遺伝による黄ばみにも優れた効果があります。
ご自宅にて、お好きな時間に行っていただくことができます。 

ガムピーリング
gu2.png gu3.png

歯肉トリートメント

歯だけでなく、歯茎の黒ずみが気になるという方もいらっしゃるのではないでしょうか。
歯茎は、タバコなど様々な原因によって黒ずみ、一度黒ずんでしまうと元のピンクの歯茎には戻りません。
ガムピーリングは、黒ずんでしまった歯茎を薬剤にて元の綺麗なピンク色に戻す治療です。
ホワイトニングで綺麗な歯になった後は、歯ぐきもピンク色にしませんか?

保険外

保険外
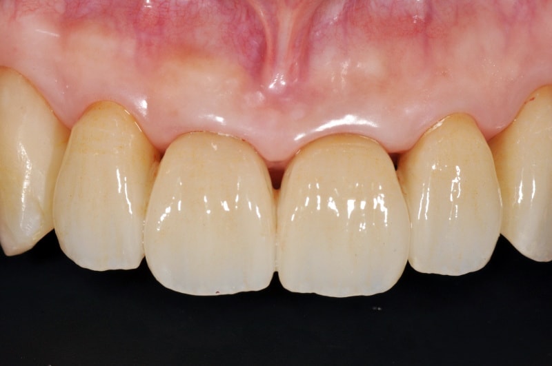
オールセラミック
cera_(2).jpg e3.jpg c4.jpg c5.jpg em3.jpg  

内外共にセラミック素材にて製作

天然歯に近い自然な感じで見た目もよいです。
被せもの全体がガラスを主成分としたセラミックにて出来ているので、とても透明感が高く色調もきれいです。
・本来の天然歯と同じか、それ以上の色調、形態を再現します。
・金属を使用しないため金属アレルギーの心配がありません。
・強度に優れているため、噛み合わせの強い方や、くいしばり、歯ぎしりをする方に有効です。
・非常に見た目が良く、ほとんど変色しません。
・汚れ(プラーク)が付きにくいです。
・歯と分子レベルで強固に接着するため、治療した部分から虫歯になりにくいです。
また、被せ物の土台であるコアの部分にもセラミックを使うと透明感があり審美性が高いのはもちろんの事、歯が割れるなどのトラブルも少なくなります。

ファイバーコア
fc_(3).jpg c9.jpg c10.jpg

ファイバーコア

今まで、保険診療では主に「メタルコア」といって金属でできた土台が用いられてきました。
これは金属製なので土台自体は丈夫なのですが、歯根よりも硬すぎて弾力がないために、無理な力がかかると歯根が破折してしまうのが最大の欠点でした。
歯を失う原因として、ムシバや歯周病に続き歯の破折が11%に及ぶと言われています。
これに対し「ファイバーコア」はグラスファイバーのピンで補強したプラスチックの土台で、硬さや弾力性が歯根に近いので歯根破折が起こりにくいのが特徴です。
さらに金属と違って素材の色が歯に近いため、透明感のある自然な被せ物ができ、金属アレルギーの心配もないというメリットがあります。

ジルコニアセラミック
em_(2).jpg im2_(2).jpg ce.jpg hc1.jpg

強くて美しい人工ダイヤモンド

ジルコニアとは宝飾によく使われている人工ダイヤモンドとして有名です。
軽くて強く、美しく、そして体にも優しいので人工関節などの医療にも使用されています。
高い強度と耐久性を兼ね備えているので、長期間お口の中で使用していただけます。
・強くて丈夫なので奥歯でしっかり物を噛める!
・金属の約1/3の軽さなので歯にかかる負担も少ない!
・まるで天然の歯!金属では出せない歯の白さ!
・金属アレルギーの心配もありません!
・元の自分の歯以上の美しさ!

 ジルライトクラウン

銀歯を低価格で白い歯に!
最新鋭のコンピュータ機器(CAD/CAM)を使い、ジルコニアのブロックを削りだして作り上げる歯です。
デジタル化を根本として合理化により、オールセラミックスに比べ低価格で提供出来ます。
大笑いすると下の歯は丸見えで、銀歯は目立ちます!
アレルギーもなく、審美性の高い白い歯!おすすめです!

メタルボンド
mb4_20201017220309431.jpg mb1.jpg mb.jpg mb2.jpg

審美性が高く強度もあります。

メタルボンドとは、中身は金属で、外から見える部分にのみセラミック等を貼り付けたクラウン(被せ物、差し歯)です。
見た目がよく、セラミックの場合は変色せず、強度も強いので非常によく使用されます。
・色が天然歯に似ているので見た目が良い。
・中身が金属なので強度が強く、ほとんどの部位に使用できる。
・中の金属に貴金属を使用することで、金属が溶け出すことによる歯ぐきの変色、金属アレルギーなどが起こる可能性を低くすることができる。

ハイブリッドセラミック
cru.jpg cru1.jpg em3.jpg in.jpg img20200429231110694790.jpg

優しい白い歯

セラミック(陶器)の粒子と、レジン(プラスチック)を混ぜ合わせて作ったものです。
セラミックよりもやわらかく、対合歯にも優しいというメリットがありますが、色調は多少劣り、唾液を吸収し、経年的に変色します。
・色が白いので見た目が良い。
・硬すぎず、適度にすり減るので周囲の歯を傷めにくい。
・金属を使用していないので、金属アレルギーが起こらない。
・割れても修理しやすい。

コンポジットレジン
core.jpg cr.jpg cr1.jpg g1.jpg g.jpg

審美性の高い修復材

修復用コンポジットレジンとは、セラミック粒子と合成樹脂を8:2の割合で合わせた複合プラスチック素材のことで、歯科では「CR」と呼ばれています。
歯科用高性能接着剤とCRを詰めた部分に照射器から放たれる特殊な光を3~10秒ほど当ててしっかりと固めます。
本物の歯に近い質感、色調、舌触りを可能にした歯の修復材で天然歯と同じような修復が可能です。

義歯|入れ歯

義歯|入れ歯
保険対応入れ歯
ire11.jpg ire7.jpg de1_(3).jpg

失った歯をの機能を復元

保険の入れ歯は使う材料の種類が限られているため、場合によっては残っている歯の色、形とのバランスが悪くなることがあります。
留め金があり、残っている歯を取り囲むようにして入れ歯を固定するため、歯の状態によっては、笑ったときに見えたり、多少口の中で違和感があります。
樹脂製の義歯は割れやすいので、かなり厚くなっています。
また、熱を伝えにくい材質なので、食べ物の温度、味覚が感じにくくなります。

バネのない入れ歯
ire21_20201017231537781.jpg sm4.jpg sm10.jpg sm11_20201017231521811.jpg

入れ歯とわからない審美性

審美性を追及した、バネの無い義歯です。
入れ歯と気づかれにくく、思い切り笑っていただくことができます。
吸水性が低いので表面に雑菌が付きづらいため臭くなりにくく人体へのなじみも良いです。
また、金属アレルギーの心配もなく、快適で自然な審美性の高い入れ歯です。
 

金属床
kin7.jpg kin.jpg kin1.jpg

オススメの入れ歯です。

フレームに金属を使用し、薄くて軽く、強度に優れ、密着性や装着感の高い義歯です。
金属は熱伝導率が高く、味覚のひとつである食べ物の温度が瞬時に伝わるため、食感も楽しむことができます。
雑菌や汚れも付着しにくく衛生的にも優れた入れ歯です。
軽くて丈夫、生体親和性の高いチタンやコバルト等を用いた義歯を提供しております。

コンフォート
comf.jpg comf2.jpg fcom.jpg

この加工により快適度が格段にアップ

コンフォートは、硬い入れ歯の裏面を生体用シリコーンというクッションで覆う、全く新しい入れ歯の技術です。
生体用シリコーンの弾性が、入れ歯でグッと噛んだときの歯ぐきにかかる負担をやわらげ、驚くほどの吸着力を発揮。
「痛い・噛めない・外れやすい」といった、従来の入れ歯の悩みを解消するとともに、あなたの歯ぐきをやさしく守ります。
咬む力も2倍となります!
食べ物をすり潰せるような強い力が実現するので、硬いものはもちろん、イカやステーキといった弾力性のあるものも、しっかり噛めます!
※噛む力には個人差があります。

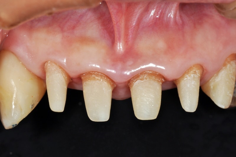
インプラント

インプラント
imp4.jpg imp15.jpg impp16.jpg im4_(2).jpg im2.jpg

失った歯を自分の歯のように復元

インプラントとは、顎の骨に人工歯根となる金属を埋め込み、その金属を土台にして、天然の歯と同じような人工の歯を取り付ける治療方法です。
埋め込む金属に生体との親和性が高いチタンが使われる事が多く、チタンは長年の臨床研究でインプラントの素材として最も安全であり、また顎の骨としっかり結合することが確認されています。
天然歯のような見栄えだけでなく、これまでの入れ歯やブリッジでは満足することが難しかった「食べる・話す」という機能も回復できます。
 
インプラントは周りの歯を傷つけず、残った歯への影響が少ないため、自分の歯を多く残せます。
また顎の骨がやせるのを防げる効果もあります。
食べ物のカスが挟まったり、留め金が見えるといったこともないので、衛生面や見た目からも、天然歯自分の歯と同じようにきれいで美しい状態を保てます。

マウスピース

マウスピース
mau2.jpg mau_20201018001559960.jpg mau3.jpg mau4.jpg

各種機能別マウスピースを取り扱っております。

当院では、各種マウスピースを取り扱っております。
どれも効果的で、早くから使えば良かったという声も多く聞きます。
・無呼吸症候群
・睡眠時の食いしばり、歯ぎしり
・スポーツマウスピースなど
お気軽にご相談下さい。